Dentistry Hildebran

Dr. John Fish, DDS

Dentistry Hildebran
Looking For a New Dentist?

Address
607 U.S. Highway 70 Southwest
Place
Hildebran, NC   28637 
Landline
(828) 397-5514
E-Mail
newsmiles@johnfishdds.com
E-Mail
Info@johnfishdds.com
Facebook
141624555879768
Video
www.youtube.com
Video
www.youtube.com
Video
www.youtube.com
Video
www.youtube.com
Website
johnfishdds.com
Reservations
johnfishdds.com

Description

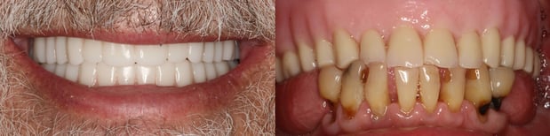
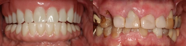
At Dr. John M. Fish, DDS in Hildebran, North Carolina, patients receive expert dental care grounded in comfort and advanced technology. From digital diagnostics and implant-supported restorations to cosmetic enhancements and sedation options, Dr. Fish and his trusted team offer holistic treatment plans designed for long-term results. With a warm, welcoming office environment, personalized communication and outstanding credentials behind each procedure, this practice is a trusted choice for patients seeking elevated dental care.

Keywords Cosmetic Dentist Hildebran, Dental Implants Hildebran, Veneers Hildebran, Teeth Whitening Hildebran, Implant Dentist Hickory, All-on-X Dental Implants Hickory, Dental Implants Hickory, Cosmetic Dentist Hickory, Implant-Supported Dentures Hickory, Sedation Dentistry Hickory, Dental Implant Specialist Near Me Hickory, Smile Makeovers Hickory, All-on-5s Hickory, Clear Aligners Hildebran, Restorative Dentistry Hickory, Top Implant Dentist Hickory.

Reviews

This listing was not reviewed yet:

Opening hours

Payment Options

Financing

Categories

Dentistry
(828)397-5514 (828)-397-5514 +18283975514

Map 607 U.S. Highway 70 Southwest

Loading map...